Cosmetic Dentistry
Porcelain Veneers

Veneers are thin, semi-translucent shells that are custom made to
precisely fit over existing teeth. Unlike crowns, they require only a
minimal amount of tooth to be shaved.
Veneers are permanently bonded to the tooth. They are not suitable for all
conditions or patients, so Dr. Bailon will
determine if this option is best for you.

Veneers are a simple and effective solution for many types of cosmetic problems such as:
- Broken or chipped teeth
- Spaces between teeth
- Permanently stained or discolored teeth
Contact us:
A Porcelain Veneer can provide structural strength, prevent further degeneration, and improve your smile! Let us show you how veneers are easy to apply and maintain!
Invisalign® / Orthodontics

A clear alternative to traditional metal braces is Invisalign®. Dr. Bailon is certified in orthodontics and experienced in delivering Invisalign® treatment.
How does Invisalign® work?
Invisalign® treatment works to straighten your teeth by using a series of clear, removable
aligners. Together with Invisalign®, we generate a treatment plan for you and produce customized medical-grade
polymer (plastic) aligners. You wear the aligners for approximately two weeks before switching to the next set of
aligners in a series. Week by week, your teeth are straightened.
Invisalign® is comfortable to wear and easy to live with. Since the aligners are removable,
you can continue to eat your favorite foods. You can brush and floss normally to keep your
teeth and gums healthy. And, almost no one will know you’re wearing them so you can smile
confidently both during and after treatment.
Invisalign® works for almost anyone! The system is used to correct malocclusion and to treat a vast majority of people who want straighter
teeth. Unlike traditional metal braces which require
routine maintenance and checkups, you visit us every month or two to check your progress and get new aligners.
What are the benefits of using Invisalign®?
- Invisible: virtually invisible so no one knows you’re straightening your teeth.
- Customized: Using the new digital scanning technology, we are able to generate a precise model of your teeth and customize perfectly fitting aligners to straighten your teeth.
- Removable: Ability to remove aligners to eat, drink, floss and brush normally.
- Effective: Invisalign® successfully treats patients with moderate to severe conditions. Even before treatment is finished, you’ll see improvement and begin to enjoy the benefits of a better smile.
- Comfort: Aligners are smooth and custom fit, they won’t irritate or cut your gum.

Contact us:
Have gaps or misaligned teeth? Invisalign® might be the right treatment for you! Custom invisible braces for both teens and adults!
Teeth Whitening
Get the Brighter, Healthier Smile you’ve been wanting!
We offer several different types of teeth whitening.
All are extremely effective
at removing stains and providing you with a
noticeably whiter smile! You have the
option of an in-office whitening or whitening your teeth privately at home.
In-Office Whitening Treatment:
In about 1 hour we can whiten your teeth up to 8 shades! The Zoom!® System is
the #1 patient-requested whitening treatment. It’s a safe, long-lasting,
and comfortable procedure.

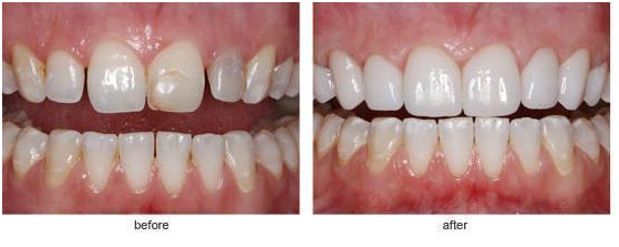
Look at the difference!
Over 10 million patients have used Zoom!® to achieve brighter, healthier smiles, making it the #1 patient-requested professional whitening system.
Going to a wedding? A new job? Looking for a brighter smile?
Try Zoom!® safe and quick whitening system in our office.
At-Home Whitening Option
For whitening at home, we make you customized trays. With the trays, we give you
the whitening syringe gels to use with the trays to whiten your teeth in to comfort
of your own home. You are able to control how often you’d like to whiten your teeth
to achieve the shade you want!
Contact us:
Get your teeth sparkling white with this effortless, painless and quick procedure!
Crowns
Natural looking, resilient, and comfortable!
What are Crowns and when are they needed?
A Crown is a type of dental restoration which fully covers a tooth.
Crowns can be made of porcelain, metal (gold or metal alloy), or a combination of both
(PFM: porcelain fused to metal). Crowns are commonly made using the PFM method.
The metal provides support and strength while the porcelain provides a more natural appearance.
We offer the option of an all porcelain crown (eMax).
There are a variety of situations that require a tooth to be restored with a dental crown. The two most common are:
- Large Filling: when a tooth has a cavity or fracture that involves half the width of the tooth or more, it needs to be covered with a crown. This is because the remaining tooth structure around the filling is so weak that it is prone to fracture. Sometimes a large filling that has been in the mouth for a while will need to be replaced with a crown because the tooth shows signs of stress and cracks around the filling.
- Root Canal: root canal treatment leaves the tooth hollowed out and predisposes the remaining tooth to crack. So, a tooth that has had and RCT almost always needs to be restored with a crown immediately to prevent it from fracturing.
What is the procedure for Crowns?
The procedure involves first numbing the tooth with local anesthesia.
Then the tooth is shaved down to an abutment to make room for the crown and an
impression is made of the prepared tooth
with a putty-like material or a digital scanner. We then help you
decide on a shade for the crown that matches the surrounding teeth.
A temporary crown is made and
temporarily cemented until the lab returns the permanent crown, usually
within one week. Once the permanent
crown arrives, it is inspected for proper fit, bite, and smooth – closed
margins. After you approve,
it is permanently cemented.
How long do crowns last?
Dental crowns should last on average from 10 to 20 years.
Crowns are still subject to fracture and cavities, so it is important to
take extra care in brushing and flossing around the crowned teeth to prevent
them from needing replacement too often. When all-porcelain crowns or veneers are present,
it is often advisable to wear a mouth-guard at night to protect the porcelain from fracturing
and prolong the life of the crown.
Contact us:
A Crown is an excellent way to cover a broken or decayed teeth. Crowns are safe, long-lasting and get you a great smile! See how a Crown can help you look and feel great!
